
Próteses
Devolvendo o sorriso e a autoestima que você merece
As próteses dentárias são dispositivos confeccionados para substituir partes da estrutura de dentes comprometidos ou ausentes, com o objetivo de restaurar a função mastigatória, a estética e a forma original do sorriso.
Nos tratamentos protéticos, utilizamos tecnologias avançadas e materiais de alta qualidade, aliados à experiência clínica.
O principal foco é aplicar o conhecimento científico mais atual para oferecer um planejamento preciso, personalizado e confiável.
TIPOS DE PRÓTESES:
✓ Onlay: é uma restauração feita em laboratório, geralmente em porcelana ou resina, indicada quando há perda significativa de estrutura dental, especialmente nas cúspides do dente.
✓ Coroa: confeccionada em porcelana, cobre totalmente o dente, sendo recomendada para casos de grandes perdas dentárias.
✓ Próteses Unitárias: indicadas quando há grande destruição do dente devido à cárie ou fratura.
Essas próteses são fixadas diretamente sobre o dente com cimento odontológico, devolvendo resistência e aparência natural.
✓ Prótese Removível: são próteses confeccionadas para substituir dentes ausentes e podem ser retiradas pelo próprio paciente para higienização.
Representam uma alternativa acessível para quem perdeu um ou mais dentes.
✓ Prótese Fixa: também conhecida como ponte fixa, é cimentada sobre dentes naturais ou implantes e não pode ser removida pelo paciente.
Esse tipo de prótese substitui um ou mais dentes, sem a necessidade de remoção diária, sendo uma opção bastante duradoura e confortável.
Atualmente, os implantes são preferidos por oferecerem melhor estabilidade e estética.
✓ Prótese Total: popularmente chamada de dentadura, é indicada quando o paciente não possui mais nenhum dente na arcada.
Nesses casos, outra opção de tratamento é a prótese protocolo, que é fixada sobre implantes, proporcionando mais firmeza e conforto.
✓ Prótese sobre Implante: consiste em uma coroa ou estrutura protética fixada diretamente sobre os implantes dentários.
Essa opção devolve a função mastigatória e a estética com excelente resultado.
✓ Reabilitação Oral: trata-se de um tratamento mais abrangente, que pode envolver diferentes tipos de próteses para restaurar tanto a função quanto a estética do sorriso.
Normalmente, é indicada em casos complexos que exigem planejamento detalhado e integração entre diversas especialidades odontológicas.

Na clínica Pereira & Bastos todos nossos procedimentos e instrumentos de uso, seguem criteriosamente os protocolos de biossegurança, seguindo todas as normas da secretaria de saúde e vigilância sanitária (ANVISA) assim reduzindo qualquer risco de contaminação durante todos os nossos atendimentos.


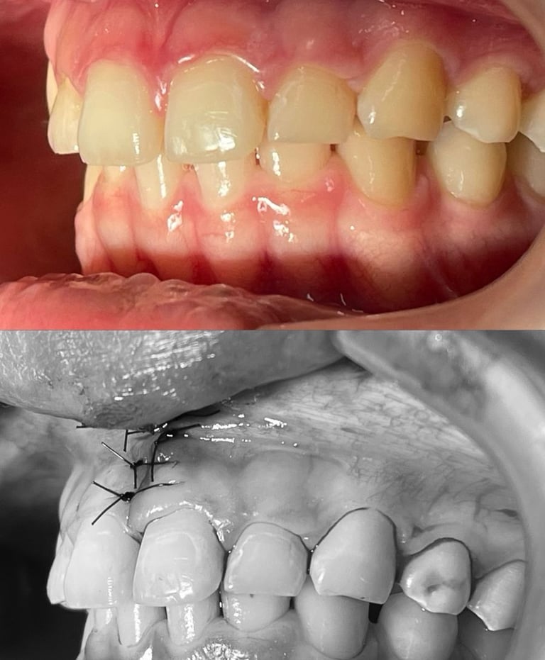
Galeria








Na odontologia, cada sorriso é único e o resultado final depende de fatores biológicos individuais. Imagens clínicas não constituem promessa de resultado. Planejamento técnico e diagnóstico são fundamentais para o sucesso do tratamento."
Perguntas Frequentes
Qual a diferença entre prótese fixa e removível?
A prótese fixa (como coroas ou pontes sobre dentes/implantes) não pode ser removida pelo paciente, oferecendo maior firmeza. A removível pode ser retirada para limpeza e dormir.
O que é uma prótese tipo Protocolo?
Vou sentir dificuldade para falar ou comer?
Quando devo trocar minha prótese atual?
Como devo higienizar minha prótese?
Há um período de adaptação breve. As próteses modernas são planejadas para devolver a fonética e a força mastigatória, permitindo que você volte a comer o que gosta com segurança.
Próteses removíveis devem ser limpas fora da boca com escovas macias e produtos específicos. Já as fixas e protocolos exigem o uso de escovas especiais (como a interdental) e passadores de fio dental.
É uma prótese fixa total para quem perdeu todos os dentes. Ela é parafusada sobre 4 ou 6 implantes, sendo a opção que mais se aproxima da sensação de dentes naturais.
Em média, a cada 5 anos. Com o tempo, o material se desgasta e a gengiva muda, o que pode causar folgas, dores ou prejudicar a estética e a eficiência da mastigação.

CONTATO
Entre em contato e agende sua consulta.
Sobre
Serviços
contato@pereiraebastos.com
© 2025. All rights reserved.