
Clareamento dental
Renove seu sorriso com dentes mais brancos e radiantes
O clareamento dental é um procedimento estético que tem como objetivo remover manchas e pigmentos da superfície dos dentes, devolvendo-lhes a cor natural ou até mesmo tornando-os mais claros. Ele atua por meio de agentes clareadores que penetram na estrutura dental, quebrando as moléculas responsáveis pelo escurecimento. Existem dois principais tipos de clareamento dental: o ambulatórial e o caseiro. A escolha depende das necessidades e expectativas do paciente.
1. CLAREAMENTO DENTAL AMBULATÓRIAL:
É realizado no consultório odontológico, sob supervisão do profissional e de nossa equipe, nesse caso conseguimos garantir resultados mais rápidos e seguros. É comum a aplicação de um gel clareador de alta concentração e aplicações de Laser infra-vermelho para o controle de hipersensibilidade dentinária comum em alguns casos.
VANTAGENS: RESULTADO IMEDIATO, CONTROLE CLÍNICO E MENOR RISCO DE SENSIBILIDADE
INDICADO PARA: QUEM BUSCA EFICIÊNCIA E SEGURANÇA
2. CLAREAMENTO DENTAL CASEIRO:
O clareamento dental caseiro supervisionado é feito com moldeiras personalizadas e géis clareadores de baixa concentração, que o paciente aplica em casa, seguindo todas as orientação e protocolos da Pereira & Bastos supervisionado pelo profissional e toda nossa equipe. Para esses casos orientamos que o uso adequado do produto seja monitorado para garantir a eficácia e segurança e diferente do clareamento em consultório o tempo de finalização é maior. os resultados aparecem depois de um período que varia de 2 a 4 semanas
VANTAGENS: CUSTO MAIS ACESSÍVEL E PRATICIDADE
INDICADO PARA: QUEM PREFERE UM PROCESSO GRADUAL E MAIS ECONÔMICO
O tratamento é indicado para pessoas que estão com a saúde bucal em dia, sem cáries, gengivite ou outras complicações que possam afetar o sucesso do clareamento. Além disso, pacientes com restaurações em resina ou próteses devem ser informados de que esses materiais não respondem ao clareamento, podendo ser necessário substituí-los após o procedimento para garantir uniformidade estética.
QUANTO TEMPO DURA O EFEITO DO CLAREAMENTO DENTAL ?
A durabilidade do clareamento dental depende dos hábitos do paciente. Em média, os resultados podem durar de seis meses a dois anos. Pacientes que evitam alimentos com corantes, tabaco e bebidas ácidas, como café e vinho, tendem a prolongar o efeito do tratamento. Em muitos casos, recomenda-se fazer manutenções anuais para manter a coloração clara.
CLAREAMENTO CASEIRO SUPERVISIONADO:
Neste caso, o paciente aplica o gel clareador em uma moldeira personalizada e realiza o tratamento em casa, geralmente durante a noite. Para esses casos orientamos que o uso adequado do produto seja monitorado para garantir a eficácia e segurança e diferente do clareamento em consultório o tempo de finalização é maior. os resultados aparecem depois de um período que varia de 2 a 4 semanas.
Nossa clínica Pereira & Bastos oferece técnicas de ponta para proporcionar resultados duradouros e seguros, personalizando o atendimento conforme as necessidades de cada paciente, fazemos protocolos de associação para cada tipo de clareamento visando os melhores resultados. Cada caso apresentará suas limitações e indicações, Para a realização desse procedimento estético nós fazemos uma avaliação clínica prévia cuidadosa a fim de entender cada caso.
Se você está em busca de um sorriso mais branco e confiante, agende uma consulta com a gente!
Na clínica Pereira & Bastos todos nossos procedimentos e instrumentos de uso, seguem criteriosamente os protocolos de biossegurança, seguindo todas as normas da secretaria de saúde e vigilância sanitária (ANVISA) assim reduzindo qualquer risco de contaminação durante todos os nossos atendimentos.


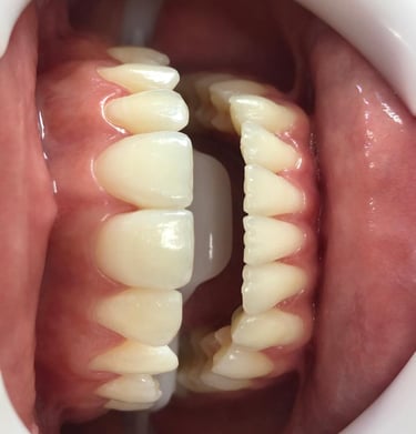
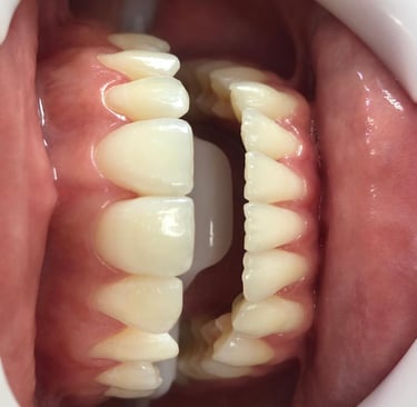
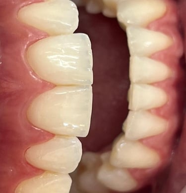
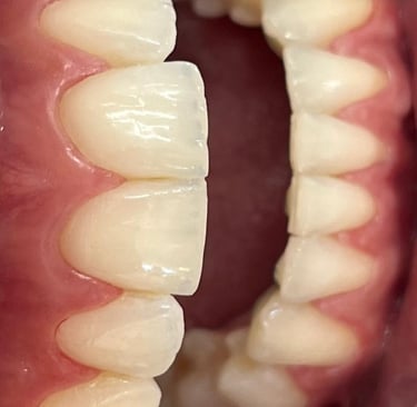
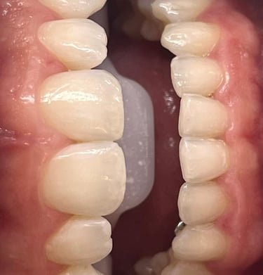
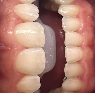
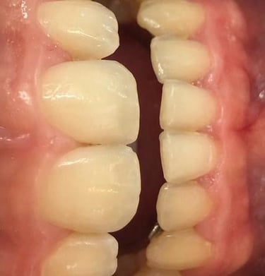
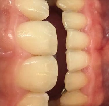
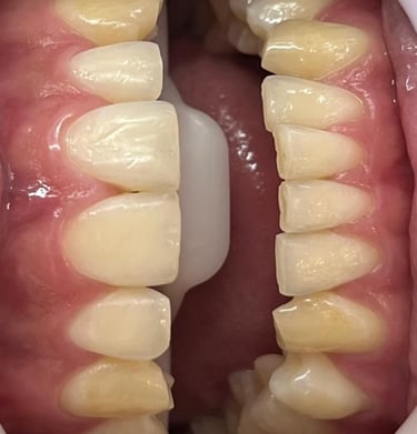
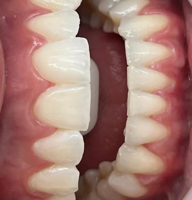
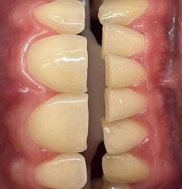
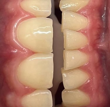
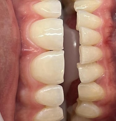
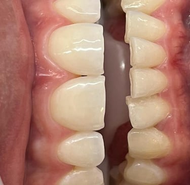
Galeria






























Na odontologia, cada sorriso é único e o resultado final depende de fatores biológicos individuais. Imagens clínicas não constituem promessa de resultado. Planejamento técnico e diagnóstico são fundamentais para o sucesso do tratamento."
Perguntas Frequentes
O clareamento dental dói?
O procedimento é indolor na maioria dos casos. Alguns pacientes podem sentir leve sensibilidade durante ou após o tratamento, mas isso é temporário e controlado com produtos específicos.
Quanto tempo dura o clareamento dental?
O clareamento enfraquece os dentes?
Qual a diferença entre clareamento caseiro e de consultório?
Quantas sessões são necessárias?
Não. Quando realizado com acompanhamento profissional, o clareamento é seguro e não danifica a estrutura dos dentes.
Geralmente, de 1 a 3 sessões em consultório já trazem ótimos resultados. Também pode ser indicado o clareamento caseiro supervisionado.
O resultado pode durar de 1 a 3 anos, dependendo dos hábitos do paciente, como alimentação, consumo de café, vinho e cigarro, além da higiene bucal.
O de consultório é mais rápido e feito com produtos mais concentrados. O caseiro é gradual, feito com moldeiras e acompanhamento do dentista.

CONTATO
Entre em contato e agende sua consulta.
Sobre
Serviços
contato@pereiraebastos.com
© 2025. All rights reserved.