
Cirurgia Bucomaxilofacial
Tratamentos cirúrgicos desde cirurgias orais menores á cirurgias de alta complexidade
TRAUMA DENTAL E FACIAL
Traumas dentais e faciais podem ocorrer em pessoas de qualquer idade e são frequentemente decorrentes de acidentes automobilísticos, agressões, quedas, esportes ou ferimentos por arma de fogo. Esses impactos podem provocar lesões nos tecidos moles da boca (lábios, gengiva, língua e bochecha), além de causar fraturas nos ossos da face e/ou nos dentes. Nessas situações, uma avaliação e intervenção rápidas são essenciais para reduzir danos e preservar estruturas importantes. Quando o trauma envolve dentes ou seus tecidos de sustentação, o tratamento geralmente pode ser realizado no próprio consultório odontológico.
Existem diferentes tipos de trauma dentário, incluindo:
Fraturas dentárias: Quebras ou fissuras no esmalte ou na estrutura interna do dente.
Luxações: Quando o dente é deslocado de sua posição original, podendo ficar mais para frente ou para trás na arcada dentária.
Avulsões: Quando o dente é completamente removido da gengiva.
É importante destacar que, independentemente da gravidade, todo trauma dentário deve ser tratado com seriedade. A falta de cuidados adequados pode levar a complicações, como infecções, dor crônica e problemas estéticos. Portanto, entender o que é o trauma dentário e como ele pode ocorrer é o primeiro passo para garantir uma resposta rápida e eficaz em caso de lesão.
Já as fraturas faciais, na maioria dos casos, exigem tratamento cirúrgico hospitalar sob anestesia geral, conduzido pelo cirurgião bucomaxilofacial.
Entre as fraturas mais comuns estão:
✓ Fraturas da mandíbula
✓ Fraturas do osso nasal
✓ Fraturas do osso zigomático
DTM
A ATM (articulação têmporo-mandibular) é a estrutura que conecta a mandíbula ao crânio, localizada à frente do ouvido. É responsável pelos movimentos essenciais da mandíbula, como abrir, fechar e movimentar a boca durante a fala e a mastigação. Quando essa articulação ou seus músculos relacionados apresentam alterações, surgem as chamadas DTMs (disfunções temporomandibulares). Elas podem ser desencadeadas por diferentes fatores, como estresse, hábitos parafuncionais (ex.: apertamento ou bruxismo), traumas, alterações anatômicas, más oclusões dentárias, entre outros.
Sintomas mais comuns das DTMs
✓ Dificuldade ou dor ao abrir e fechar a boca
✓ Dores de cabeça (cefaleia)
✓ Dor no ouvido ou na região próxima à ATM
✓ Zumbido no ouvido
✓ Sensação de cansaço na musculatura mastigatória
✓ Dores ao mastigar, bocejar ou falar
✓ Dor irradiada para o pescoço (região cervical)
✓ Estalos, crepitações ou ruídos na articulação
✓ Apertamento e ranger dos dentes (bruxismo)
Tratamento
O tratamento das DTMs geralmente é interdisciplinar e varia conforme a gravidade do caso e os sintomas apresentados.
Pode incluir desde abordagens conservadoras, como:
✓ Placas de mordida
✓ Fisioterapia e terapia manual
✓ Medicamentos analgésicos e anti-inflamatórios
✓ Técnicas de relaxamento muscular
✓ Orientação sobre hábitos parafuncionais
Até intervenções cirúrgicas em casos mais complexos, como:
✓ Artrocentese
✓ Artroscopia
✓ Cirurgia aberta da ATM
O objetivo é aliviar a dor, restaurar os movimentos mandibulares e melhorar a qualidade de vida do paciente.
Ronco e Apneia obstrutiva do Sono
A odontologia do sono trata ronco e apneia obstrutiva (leve a moderada) com aparelhos intraorais personalizados. Esses dispositivos avançam a mandíbula, ampliando as vias aéreas e melhorando o fluxo de ar, sendo uma alternativa eficaz ao CPAP. O tratamento melhora a qualidade do sono e reduz riscos à saúde.
Como a Odontologia atua:
✓ Aparelho Intraoral (AIO): Feito sob medida, mantém a mandíbula em posição anterior e a língua para frente, reduzindo a obstrução das vias respiratórias.
✓Ajuste Personalizado: O avanço mandibular é gradual e individualizado, oferecendo alto índice de conforto e satisfação.
✓ Indicação: Mais comum para ronco simples e apneia obstrutiva leve a moderada.
✓ Eficácia: Estudos indicam que pode eliminar o ronco e a apneia em cerca de 75% dos pacientes.
Benefícios e Cuidados:
✓ Saúde: Melhora a oxigenação, reduz sonolência diurna e irritabilidade.
✓ Acompanhamento: Recomenda-se consulta anual para higiene e ajustes.
✓ Multidisciplinar: A avaliação deve ser feita por um cirurgião-dentista qualificado em odontologia do sono, muitas vezes em conjunto com um médico do sono.
Sinais de Alerta:
✓ Ronco alto, pausas respiratórias durante o sono, acordar com sufocamento, boca seca e dor de cabeça pela manhã são sinais para procurar ajuda.
CIRURGIA ORTOGNÁTICA
A cirurgia ortognática é um procedimento indicado para corrigir alterações nos ossos maxilares (maxila e mandíbula). Realizada em ambiente hospitalar, sob anestesia geral, ela tem como objetivo tratar desarmonias dentofaciais que afetam não apenas a mordida (oclusão), mas também a estética e a funcionalidade facial.
Essas alterações ósseas podem impactar significativamente a qualidade de vida do paciente, trazendo consequências como problemas respiratórios, dificuldades mastigatórias, dores articulares, alterações na fala e questões estéticas, O tratamento é multidisciplinar e vai muito além do ato cirúrgico.
O paciente conta com acompanhamento integrado do ortodontista, fonoaudiólogo e psicólogo, tanto no pré quanto no pós-operatório. Embora seja uma cirurgia complexa, o planejamento virtual em 3D e o uso de guias cirúrgicas aumentam a precisão do procedimento e garantem maior previsibilidade no resultado final.


Na clínica Pereira & Bastos todos nossos procedimentos e instrumentos de uso, seguem criteriosamente os protocolos de biossegurança, seguindo todas as normas da secretaria de saúde e vigilância sanitária (ANVISA) assim reduzindo qualquer risco de contaminação durante todos os nossos atendimentos.


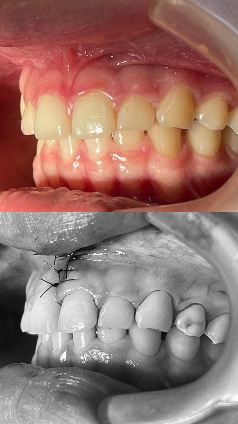
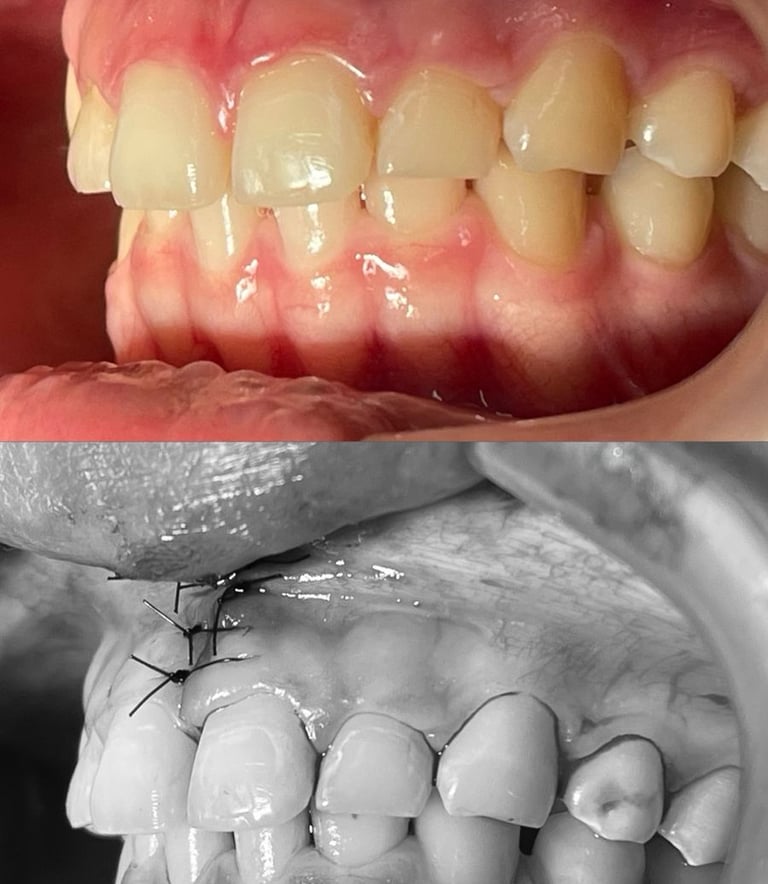
Galeria








Na odontologia, cada sorriso é único e o resultado final depende de fatores biológicos individuais. Imagens clínicas não constituem promessa de resultado. Planejamento técnico e diagnóstico são fundamentais para o sucesso do tratamento."
Perguntas Frequentes
Quando uma extração é indicada?
A extração é necessária quando o dente está muito destruído por cárie ou fratura e não pode ser salvo, em casos de doença periodontal avançada ou para abrir espaço em tratamentos ortodônticos.
A extração dói?
O que não posso fazer após extrair um dente?
O que acontece se eu não repuser o dente extraído?
É normal o local sangrar após a cirurgia?
Nas primeiras 24 a 48 horas, você deve evitar esforços físicos, exposição ao sol, bochechos vigorosos, fumar e consumir alimentos quentes ou duros.
Um pequeno sangramento ou “saliva avermelhada” é comum nas primeiras horas. Orientamos alimentação gelada, compressa fria e manter a cabeça elevada (geralmente entre 30° e 45°), diminuindo assim a pressão intracraniana. Morder uma gaze estéril por cerca de 30 minutos também pode ajudar na formação do coágulo e na cicatrização.
Não. O procedimento é totalmente indolor, pois é realizado sob anestesia local potente. O paciente sente apenas uma leve pressão, mas nenhuma dor durante a remoção.
A falta de um dente faz com que os dentes vizinhos se inclinem e os opostos "subam" ou "desçam", prejudicando a mordida e dificultando a higiene. Por isso, recomenda-se planejar um implante ou prótese após a extração.

CONTATO
Entre em contato e agende sua consulta.
Sobre
Serviços
contato@pereiraebastos.com
© 2025. All rights reserved.