
Endodontia
Tratamentos de canal com especialistas experientes devolvendo a saúde que seu dente merece
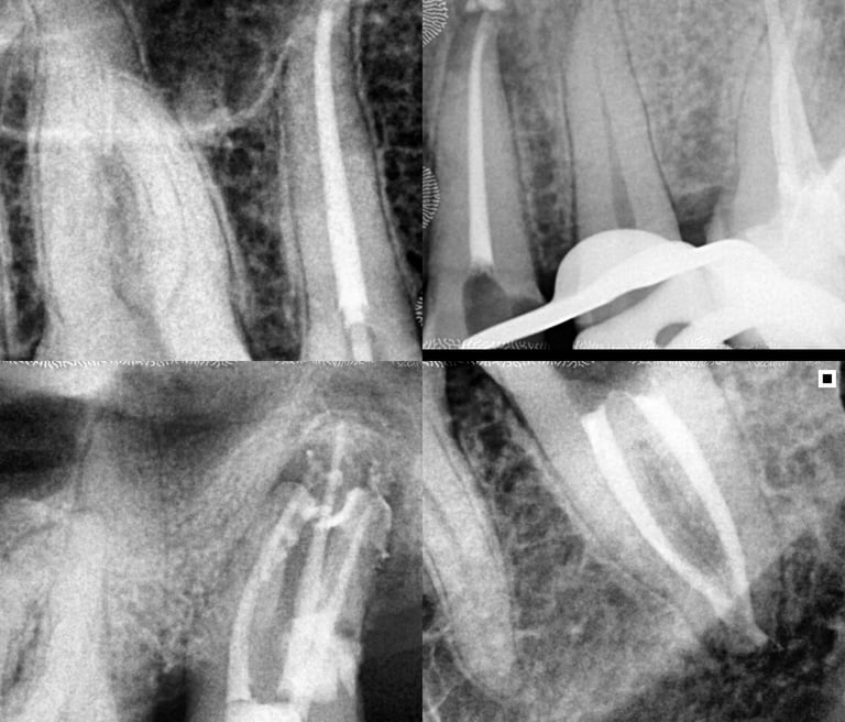
A endodontia é a especialidade da odontologia responsável por diagnosticar e tratar doenças que afetam a polpa dentária (o famoso “nervo do dente”) e os tecidos que ficam ao redor da raiz.
O tratamento endodôntico é popularmente conhecido como tratamento de canal.
QUANDO É NECESSÁRIO FAZER O TRATAMENTO ENDODÔNTICO?
A polpa dentária é a parte mais interna do dente, composta por vasos sanguíneos, fibras nervosas e células especializadas.
Quando essa região é afetada — seja por cárie profunda, trauma ou outros fatores — pode ocorrer inflamação ou infecção.
Nessas situações, o tratamento de canal é indicado para eliminar a dor, controlar a infecção e preservar o dente.
Quando a polpa está necrosada (morta), o dente pode deixar de doer, mas ainda é essencial realizar o tratamento para remover tecidos contaminados e evitar a disseminação de bactérias.
Em alguns casos, a necessidade de tratamento de canal é identificada em exames radiográficos, mesmo antes de o paciente sentir dor.
As radiografias periódicas podem revelar lesões na ponta da raiz, indicando um foco de infecção que precisa ser tratado.
Nesses casos, apenas o tratamento endodôntico é capaz de eliminar o problema e restaurar a saúde do dente.
QUANTO TEMPO LEVA PARA REALIZAR O TRATAMENTO ENDODÔNTICO?
Com o avanço da tecnologia e o uso de equipamentos modernos — como instrumentos rotatórios, localizadores apicais e radiografias digitais — o tratamento de canal tornou-se muito mais ágil, confortável e preciso.
Atualmente, a maioria dos casos pode ser concluída em apenas uma sessão, proporcionando mais praticidade e bem-estar ao paciente.
Entretanto, em situações em que há infecção mais extensa ou processos inflamatórios avançados, pode ser necessário realizar duas ou mais consultas para garantir a completa desinfecção do canal e o sucesso do tratamento.
Na clínica Pereira & Bastos todos nossos procedimentos e instrumentos de uso, seguem criteriosamente os protocolos de biossegurança, seguindo todas as normas da secretaria de saúde e vigilância sanitária (ANVISA) assim reduzindo qualquer risco de contaminação durante todos os nossos atendimentos.


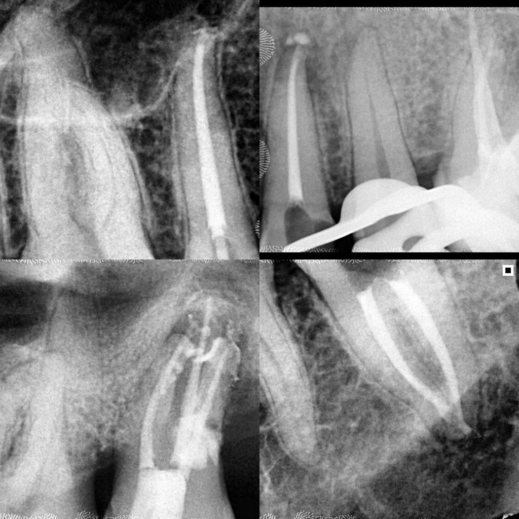
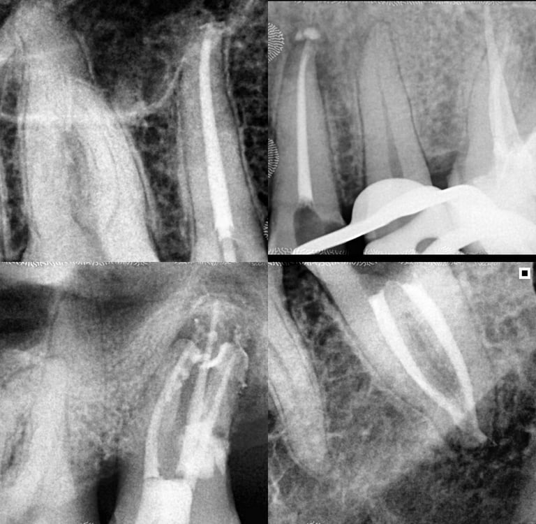
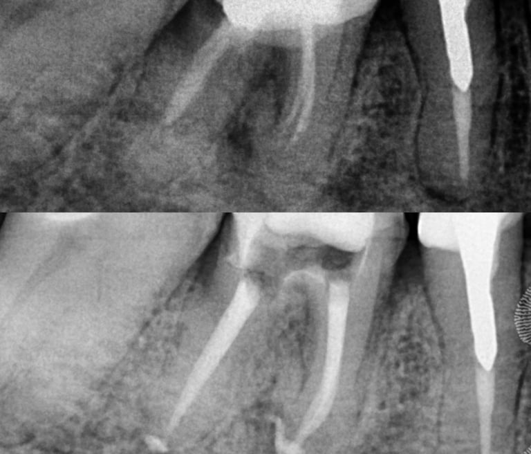
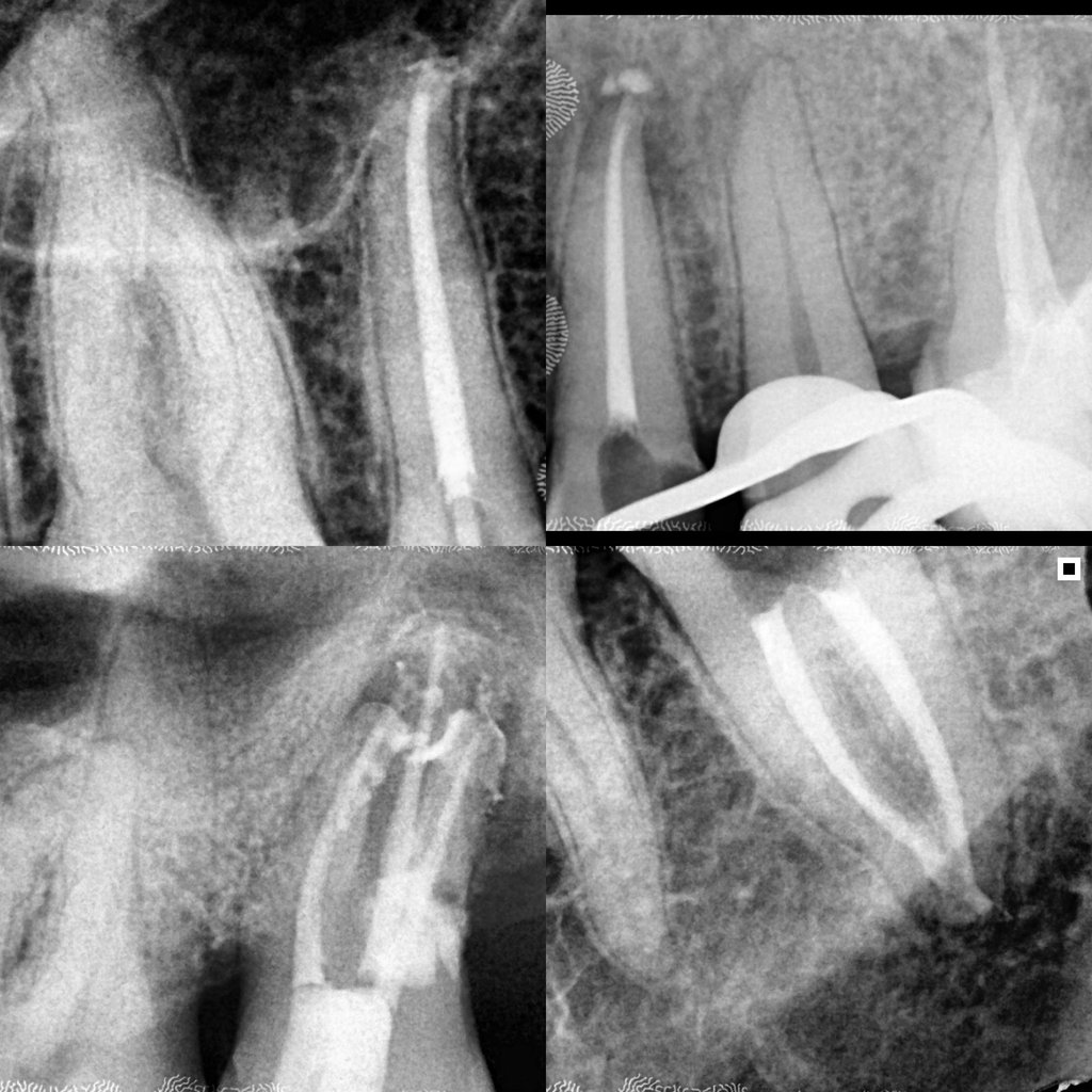
Galeria








Na odontologia, cada sorriso é único e o resultado final depende de fatores biológicos individuais. Imagens clínicas não constituem promessa de resultado. Planejamento técnico e diagnóstico são fundamentais para o sucesso do tratamento."
Perguntas Frequentes
O que é o tratamento de canal?
É a remoção da polpa (nervo) do dente que foi danificada por cárie profunda ou trauma, seguida pela limpeza, desinfecção e vedação do espaço interno.
Tratamento de canal dói?
Não. Com as técnicas modernas de anestesia e o uso de limas mecanizadas, o procedimento é indolor e traz alívio imediato para a dor que o paciente já estava sentindo.
Por que não posso apenas extrair o dente?
Manter o dente natural é sempre a melhor opção. A extração pode causar desalinhamento dos outros dentes e perda óssea, exigindo tratamentos mais caros e complexos depois.
Quanto tempo dura o procedimento?
Graças à endodontia mecanizada (uso de motores), muitos casos que antes levavam várias sessões hoje podem ser resolvidos em apenas uma única visita.
O dente fica "morto" após o canal?
O dente perde a sensibilidade térmica (frio e calor), mas continua fixo e nutrido pelo osso e tecidos ao redor, mantendo sua função normal na mastigação.

CONTATO
Entre em contato e agende sua consulta.
Sobre
Serviços
contato@pereiraebastos.com
© 2025. All rights reserved.